
Veneers
No one is born with a perfect smile, and perfect hygiene habits can still fall short of giving us the smile we've always wanted.
Using veneers, Dr. Jeffrey S. Kearney can conceal minor cosmetic flaws and give you the beautiful smile you've always desired.
Let’s take a look at how veneers placed by our Cary, NC, dentist can enhance your smile.
Find One Treatment for All Your Goals
If you want a beautiful smile, you don't need to seek a series of dental procedures. With veneers, you can find everything you need in a single package. To learn more about how veneers can help you achieve your goals, contact our Cary dental office.
What Are Veneers?
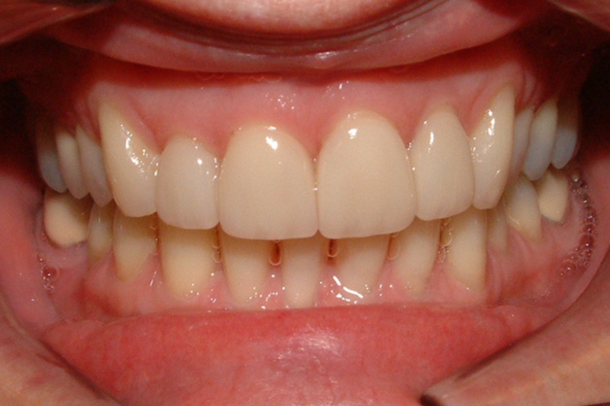
Veneers are a cosmetic dentistry treatment that can improve the appearance of your smile and boost your confidence by concealing various cosmetic flaws. They are thin, custom-crafted pieces of porcelain that are placed over the front of each affected tooth. Veneers look like your natural teeth and can withstand the pressures of chewing. To prepare a tooth to receive a veneer, we'll safely remove a small amount of tooth enamel from the tooth surface. This allows the veneer to lay flush with surrounding teeth and avoid looking bulky or unnatural.

Benefits of Our Porcelain Veneers
Versatile
While most other cosmetic treatments target a specific problem, veneers can address multiple issues one tooth at a time.
Long-Lasting
Dental porcelain can last 10-20 years with proper care. That's far longer than bonding, a procedure that addresses similar concerns.
Natural-Looking
Porcelain absorbs and reflects light like your natural teeth and is crafted to match the color and dimensions of surrounding teeth. As a result, our porcelain veneers will have others admiring your beautiful smile, not your dental work.
Confidence-Boosting
By concealing cosmetic flaws, our porcelain veneers can give you the beautiful smile you've always wanted and improve your self-image.
Stain-Resistant
Despite our best efforts, our teeth can become stained or discolored over time. Luckily, porcelain resists stains, so your bright smile can last with proper care.
Ready for a New Smile? Request a Consultation with Dr. Kearney
If you are considering investing in cosmetic dentistry of any kind, it pays to choose an experienced dentist in Cary, NC. Dr. Kearney has been enhancing patients' smiles in the area since 1992 using dental veneers and other treatments. With his extensive training and the latest technology, Dr. Kearney can help you realize the smile of your dreams.
Dr. Kearney can answer all your questions about dental veneers and other forms of dentistry. You can contact us to submit a question or discuss veneers during a consultation. You're also welcome to call our office in Cary, NC, at:
(919) 859-4778

Our Trusted Affiliations
We Focus on Every Detail So You Can Enjoy Your New Smile
"Dr. Kearney is very thorough, knowledgeable, and a perfectionist. Staff is great too!" Cynthia Hughes
Curious About Payment Options?
Veneers Aren't Eligible for Insurance
While there are genuine benefits to veneers, like an increase in confidence, they won't be covered by insurance.
You Can Pay With Cash or Credit
Our dentistry patients are welcome to cover the cost of their care using cash or credit cards.
Payment Plans Are Accepted
If you need more help, we accept another option: payment plans, which allow you to space out the cost of your veneers.
Wondering if Your Veneers
Will Look Natural?
Let Our Real Results Reassure You
Though subtlety can be a genuine concern for cosmetic dentistry patients, we're fully transparent about our results, allowing you to view the caliber for yourself.
We Maintain a Comfortable Office
Come Experience the Difference
Televisions Available
It's completely fine if you just want to enjoy some TV as Dr. Kearney beautifies your smile. Sit back, relax, and leave the dentistry to us.
Dental Sedation
One of the most common barriers to treatment is fear. Even for simple cosmetic procedures, Cary patients are thankful that we can safely administer nitrous oxide.
Digital Impressions
Our office invests in your experience with state-of-the-art technology. Our iTero® digital scanner means no messy impressions and a quicker appointment.
Excited about the possibilities? You can learn more about your candidacy for veneers and other dentistry treatments by contacting our Cary, NC, office, or by calling us at:
(919) 859-4778
We Show Cary Patients That Dental Care Can Be Relaxing
Dr. Kearney and his staff are always friendly, helpful, professional, and caring. Dr. Kearney is a patient, knowledgeable and thorough dentist who goes the extra mile to solve any issues. I’ve been so impressed with him that my whole family is now going to him and they love him too! I highly recommend Dr. Kearney and his helpful, friendly staff!
View on GoogleDr. Kearney and his (excellent) team have been my wife and my dentist for fifteen years. [Our treatments] all been executed perfectly. Moreover, this is a highly personable office that works hard on patient comfort - nobody likes going to the dentist. Going to see Dr.Kearney, and team, I enjoy.
View on GoogleAm I a Good Candidate for Veneers?
While veneers can be a great solution to cosmetic issues for most dental patients, others may not be the best candidates for treatment. When determining whether porcelain veneers are right for you, Dr. Kearney will consider your:
Oral Health
Veneer patients should have good oral health, with no active cavities, gum disease, or other issues. We can place veneers when you have recovered from the procedures needed to resolve these issues.
Tobacco Use
Your veneers need a healthy smile foundation, and tobacco is harmful to your oral health. Additionally, you can expect that tobacco will stain your veneers and enamel. For the best-looking results, we recommend you drop the habit before receiving veneers.
Enamel Condition
Since veneers require a small layer of enamel to be removed, you need enough enamel to accommodate the veneer without compromising the stability of the tooth. As a result, patients with thin or worn layers of enamel may not be good candidates for veneers.
Excited about the possibilities? You can learn more about your candidacy for veneers and other dentistry treatments during a consultation at our Cary office.
Veneer Treatment Timeline
Our Cary practice can customize your veneers to match the size, shape, and color of your natural teeth. Though each of our veneer treatments is completely personalized, the general process can look something like this:
Because Dr. Kearney prioritizes continuing education, he's able to stay up to date with advanced techniques.
Not Sure About Veneers? Consider Dental Bonding
Though it's possible for our dentist to make just a single veneer, you have another option for small imperfections: dental bonding. Essentially, Dr. Kearney can apply a small amount of tooth-colored resin to your tooth to conceal minor imperfections like cracks, chips, or discoloration. Once it's in position, Dr. Kearney will cure the resin so it stays in place.
While this procedure doesn't have the lifespan or comprehensive ability of veneers, it is faster and more affordable. We can guide you through the benefits of both treatments during your dentistry consultation.
Cary Patients Appreciate Us So Much That They Refer Their Loved Ones to Our Office
Dr. Kearney and his lovely staff are incredible. I will gladly be referring them to all of my family and friends. I am an extremely satisfied patient.
View on GoogleFrom someone who has always hated going to the dentist, I wish I had found Dr Kearney twenty years earlier. From the front desk to all the staff, it is a pleasure to come into the office.
View on Google











