Former SmileDirectClub Patients Can Get 50% Off Invisalign® Treatment

If you’re reading this blog post, you’re probably aware that SmileDirectClub has filed for bankruptcy and is no longer serving patients. This direct-to-consumer orthodontic solution had benefits but the reality is, now many people are not sure where to turn. If you’re scrambling to find a new provider, we can help.
At my Cary, NC, practice, we’re excited to share that SmileDirectClub patients get 50% off Invisalign® treatment. This discount is effective immediately. We hope this opportunity will help to ease any financial strain and allow you to continue pursuing your goals. In this blog post, we’ll walk you through the transition to Invisalign treatment with my team and what this means for your smile.
How to Claim Your Invisalign Discount
The first step you need to take is to email our office or call us at (919) 859-4778 to request an Invisalign consultation.
During your initial visit, we’ll go over your health history and get to know you. We’ll discuss how long you’ve been wearing clear aligners and reassess your concerns and goals.
Until then, continue to wear your current set of trays consistently. If you fail to follow the guidelines and don't remain committed to care, it will increase your treatment time.

Benefits of Making the Switch
We know that this might be a difficult and stressful transition for some people. If you’d been delaying correcting your smile in the first place, we want to applaud you for taking the first step and committing to better confidence and better health.
The silver lining now is that we can provide immediate, hands-on guidance for the rest of your treatment plan.
Work With Skilled Invisalign Providers
If you’re worried you need to see an orthodontist or other type of specialist, the answer is no. In fact, because I’m a dentist who is trained in clear aligner therapy, you can benefit from comprehensive care under one roof. Many of our Invisalign patients choose to whiten their teeth once they’re done, for example. Imagine enjoying not only straighter teeth but a bright, luminous smile – without visiting another dental practice in Cary or another town.
In a small number of cases, we find that patients who transition their orthodontic treatment to our practice are in fact better candidates for traditional orthodontics. Again, good news, because we also offer braces. Unlike some other dentists or companies, our primary goal is not the quickest or easiest treatment. It’s the very best results possible.
Invisalign Has Staying Power in the Industry
Invisalign was founded in 1997 – almost two decades before SmileDirectClub. They’re widely recognized as the pioneers of clear aligner therapy. A massive number of providers and patients trust their smiles to the company. And Invisalign’s not going anywhere.

Continuing Clear Aligner Treatment
As we mentioned above, for the time being, continue to wear your current set of clear aligners. If you’re curious about what your treatment plan at our Cary office will look like moving forward, let’s go over a handful of steps together.
Take Impressions & Plan Treatment
First, we’ll discuss your concerns and goals and verify we agree you’re a good candidate for clear aligners. Any underlying health conditions that might have gone unaddressed will need to be taken care of. For example, we recommend treating any cavities or gum disease at our Cary office before we resume your orthodontic treatment.
Next, we’ll use our iTero® digital scanner to take impressions of your teeth. In contrast to the impressions you originally took to guide your treatment, dentist-supervised planning allows for a higher degree of quality control. We’ll use this information to map out the remainder of your treatment.
Using this information, we can also help you preview your intended results. Your treatment cost will be based on the number of trays you require so we can also provide you with an estimate at this time.
Our Cary office offers payment plans so we can also discuss options that can help to make treatment even more affordable.
Commit to Invisalign’s Recommendations
Once you have received your new set of aligners, you can stop wearing your SmileDirectClub trays and begin your Invisalign treatment. These smooth plastic trays are made with advanced technology so you might find that they have an even more comfortable fit. You’ll need to wear your Invisalign aligners for at least 20 to 22 hours a day. Throughout the duration of your treatment, you’ll need to switch from one set of aligners to the next about every two weeks.
Though we don’t require a large number of check-ups throughout your treatment, these appointments do provide a unique opportunity you would miss out on if you continued with SmileDirectClub. If your teeth are not shifting as quickly or as smoothly as we anticipated, we can make slight adjustments.
Once you have achieved your final results, it’s important to protect your newly straightened smile. You might be able to continue wearing your last set of trays at night to act as retainers. In other cases, we’ll have custom retainers made to protect your bite.
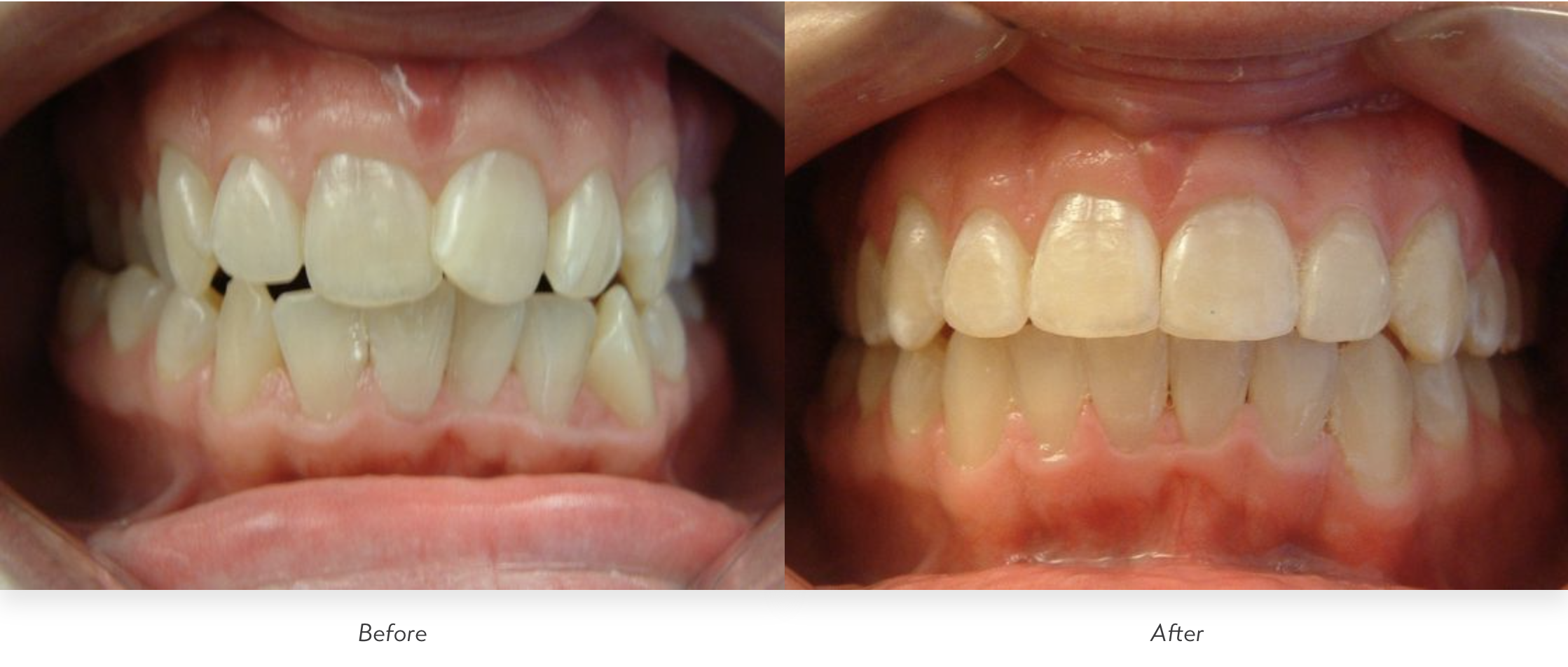
View Our Patient's Stunning Results

Invisalign can be used to treat cases like this, where teeth are tipped or rotated.
Helpful Resources
We have a number of resources online that can help you get a jumpstart on your treatment plan. You can access patient forms to complete before your visit. You can also view our office location, directions, our hours, and more on our location page.
Get Started On Your Half-Off Invisalign Treatment Today
We understand it may have come as a disappointment and shock when SmileDirectClub filed for bankruptcy. But with the help of my Cary team, you don’t have to skip a beat.
With years of experience and advanced technology, we have all the tools you need to enjoy a healthy, straight, and beautiful smile. Reach out to us as soon as you can to request a consultation. We’ll help you get back on track and reap the benefits of this incredible discount.

About Jeffrey S. Kearney, DDS
A dentist since 1992, Dr. Jeffrey Kearney has extensive training in TMJ and sleep-breathing disorders. He is a member of the Academy of General Dentistry and a fellow of the American Academy of Craniofacial Pain and the International Congress of Oral Implantologists.
Read Dr. Kearney's Full Bio | All Posts by Jeffrey Kearney

